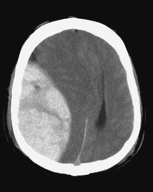
L'emorragia intraventricolare è un sanguinamento all'interno dei ventricoli cerebrali.
Eziologia
Sanguinamenti nelle cavità ventricolari possono comparire in concomitanza di traumi ed ematomi del parenchima cerebrale, aneurismi e altre anomalie artero-venose, emorragie subaracnoidee, neoplasie e ictus.
Clinica
La sintomatologia è simile a quella delle emorragie a livello del parenchima, e comprende cefalea, alterazione dello stato di coscienza, nausea, vomito e convulsioni.
Diagnosi
La presenza di emorragie intraventricolari può essere indagata tramite angio-TC, risonanza magnetica e angiografia cerebrale.
Un esame diretto del liquor permette di individuare una xantocromia.
Trattamento
Le emorragie ventricolari prevedono un monitoraggio presso in terapia intensiva e stroke unit. La comparsa di idrocefalo è indicazione per l'impianto di un drenaggio per ridurre la pressione all'interno dei ventricoli.
Prognosi
Si tratta di un evento che pone i pazienti a severo rischio di esiti infausti. La mortalità dei soggetti che presentano sia emorragie intraventricolari associate ad emorragie cerebrali è stimata tra il 50% e l'80%.
Note
Voci correlate
- Emorragia cerebrale
- Trauma cranico


![04.11 [04.02 Patologie Neuroradiologiche] Emorragia Epidurale](https://app.testammissione.com/wp-content/uploads/2020/11/image-57.jpg)

